Rasa terpanggil untuk berkongsi kisah duka dan ujian buat aku dan suami. An ectopic pregnancy.
For those yang tak tau, aku dah ada seorang anak perempuan yang Subhanallah sangat sihat dan sempurna. Bersalin pada December 2016 secara Ceaserean. Dek kerana selalu terbaca dan terdengar tentang betapa bahayanya beranak jarak dekat kalau yang ceaser ni so aku tetapkan mindset, after 2 years baru boleh ttc.
So genap 2 years, terus stop merancang. And berusaha untuk dapatkan second baby. And Alhamdulillah, start dari November dok try, March baru nampak positive line tu. Meh nak cerita kronologi kisah my ectopic pregnancy yang super duper sedih but Alhamdulillah kitorang boleh terima dengan tenang. Banyak pengajaran dan hikmah yang aku belajar dari semua ni.
sumber ihsan Google
25th March 2019
- Dah 3 hari lewat datang period. Terus petang tu beli pregnancy test sebab nak try esok paginya.
26th March 2019
- Bangun je pagi tu memang terus buat. Lepas tu suruh Nabil yang pegi tengok result sebab instinct i kuat cakap i pregnant tapi i tak berani tengok result. So Nabil tengok and Alhamdulillah, double line! Its positive!
Gambar kabur sebab dari whatsapp images. tapi dua line tu memang sumpah terang, jelas dan nyata.
- Gembira gila kitorang pagi tu. Memang satu hari tu memasing berbunga bunga siap nak makan luar malam tu konon konon nak buat mini celebration. Kalau ikut apps, I dah 6 weeks time tu. But....at the same time, I start rasa perut cramp. Tapi i buat tak tau je sebab masa memula pregnant kan Indah dulu tu memang perut cramp macam senggugut. Other than that, rasa pening, nak muntah, and hilang selera makan tu pon datang sekali. Everything nampak sangat normal. Not knowing that this is the beginning of the tests.
29th March 2019
- Rasa tak sedap hati. Sebab sakit perut tu berlarutan and makin menjadi jadi. Especially sakit kat bawah perut belah kiri. Tapi still boleh jalan macam biasa. No bleeding. Everything is okay except for the pain dekat perut. Balik kerja dah pukul 6, jemput anak dekat rumah pengasuh, sampai rumah dah pukul 7. So kebanyakan klinik dekat situ memang pukul 8 dah tutup. So we decided untuk pergi klinik keesokkan harinya memandangkan esok tu hari Sabtu.
30th March 2019
- Hari yang mengubah segalanya. Sepatutnya pagi tu nak pergi Janda Baik, BFF Nabil zaman UIA kahwin. Tapi kitorang plan nak pergi klinik dulu buat confirmation then barulah ke Janda Baik. At the same time, rasa sakit tu still ada. Cuma tak sakit sangat sebab rasa sakit tu kejap datang kejap hilang. So kitorang pergi klinik yang memang dah biasa pegi masa pregnant Indah dulu. So dia scan perut i dengan muka kerut dia and suddenly said 'I found nothing dalam rahim you'. Ya Allah rasa nak nangis. She added more 'But I found cyst, there are two, not so big. And i found something outside your rahim, but i dont know if its the baby or not. Lets do the test again'. So buat la pregnancy test depan dia. And yes its also positive. And the doctor said 'Yes you are pregnant. Confirmed. But i cannot see the baby or heartbeat. Don't worry, I akan refer you ke hospital'
- So doctor dekat klinik tu cakap kalau tak nampak kantung baby, there are some possibilities.
- Too early. Somestimes ada orang kalau baru 6-7 weeks memang kadang kadang tak nampak lagi sebab too small.
- Ectopic pregnancy
- Tersorok / tertutup dengan benda lain contohnya cyst (Bukan benda benda ghaib ni eh)
- Tapi in my case, nampak macam lebih kepada Ectopic. Dia suruh pergi hospital hari tu jugak. So plan nak ke Janda Baik terpaksa kitorang batalkan. Bertambah malang, hari tu hari Sabtu so dah try call Hospital Serdang nak jumpa gynae, tapi dyorang cakap kena datang Isnin. So terpaksalah pergi any nearest private hospital yang ada gynae specialist.
Referral letter dari Klinik pertama. Tengok tu dia tulis Ectopic. Sedih dah masa ni
- Pergi hospital pertama, bawak surat referral tu tapi doctor gynae semua lelaki and full. Kena datang esok pulak. So kitorang taknak. Dok google jumpalah satu hospital bersalin ni dekat Shah Alam. Terus call and Alhamdulillah boleh walk in and terus book untuk jumpa doctor perempuan.
- Sampai dekat hospital tu, dia cek berat ape semua and sampailah my turn kena panggil. Aku nak reveal nama doctor tu sebab dia sangat baik and very supportive tapi tak boleh sebab haaa nanti aku cerita. So dia scan perut. And result sama. Baby tak nampak. Dia scan thru vagina pulak. Aku mati mati ingat sakit rupanya okay je takde pape pon. So scan thru vagina pon sama jugak. Baby tak nampak. Tapi tu la nampak cyst. Terus aku meraungggggggggg.
- So, apa nak buat? BHCG measurement test. Dia akan cek based on blood test. Based on my understanding, BHCG is a hormone produced by the developing fetus. Maksudnya kalau level darah menaik, yes you are pregnant. Tapi kalau level darah tu menurun, it means the baby is not growing well. Test ni kena ambek dua kali dalam masa 48 jam. Contoh test pertama ambil hari Isnin, test kedua kena ambil 48 hours after that. And tengok lah result tu naik ke turun. So terus ambil darah hari tu jugak. And kena datang balek 2 hari selepas tu. In a meantime, berdoa banyak2 semoga baby ada dalam rahim and doing well. Kitorang berharap sangat baby tu ada cuma tersorok ke atau kecil lagi ke. So ujian untuk hari tu, doneeeee!
1st April 2019
- Pergi kerja macam biasa. Dah cakap siap siap dengan Boss petang nanti nak keluar kejap nak buat blood test je. Lepas tu masuk Office balik. Alhamdulillah dapat boss yang memahami. The appointment scheduled at 2 pm. We arrived there dalam 1.45pm so sempat la. Tunggu punya tunggu, tetibe kena panggil doctor. Doctor yang paling pakar lah dalam ilmu sakit puan dekat hospital tu. And doctor lelakiii. Aku dah pasrah dah. Anak punya pasal. So dia explain pasal BHCG test. So based on blood test yang pertama, level darah aku is 22400 (taktau ape dia punya unit of measurement) which is too high and sepatutnya memang dah nampak kantung and heart beat. Dia kata yang normal punya bacaan level darah untuk orang yang mengandung 6-7 weeks patutnya dalam 3000. Aku punya sampai dah puluh ribu. Cuak gakkk. So dia scan lagi atas bawah and memang pelik sebab tak nampak. Dia dah nak hampir diagnose Pregnancy of Unknown Location (PUL), tapi dia cakap nanti dulu sebab nak tunggu result lagi satu. PUL ni maksud dia when you are confirm pregnant but the baby is not there. Tu explanation dia la. So dia cakap takpe, ambek test ni sekali lagi, and result boleh tau malam tu jugak! And doctor bagi mc terus untuk hari tu and esok sebab dia risau aku emosi. So balik office ambil barang and ambil Indah. Dengan Nabil sekali terpaksa EL. Sorry yang.
- Pukul 7.30 malam, hospital call suruh datang jumpa doctor. Berdebar gila lah nak pegi. So dah sampai hospital tu, terus jumpa doctor and he said my level BHCG is increasing from 22400 to 33000 which means memang confirm pregnant. And the baby is growing. Maknanya dia hidup. Tapi still tak dapat trace where is the baby. Dia request untuk scan sekali lagi tapi I dah taknak. I terus cakap, please write me a referral letter, I nak continue dengan government. Dia macam tak bagi, but who cares.
- Keluar bilik dia, aku terus nangis. Dah tak kisah dah orang tengok ke ape. Yang buat rasa nak nangis tu salah satu sebabnya baby dah la tak nampak lepas tu tambah dengan takde kata putus dari doctor. Kemon la. Specialist kot. Equipment hospital tu power dah. Takkan tak boleh bagi conclusion ke ape. Total hangus kat hospital tu around RM700+. Tapi result? Aku jadi tak puas hati sebab dia tak boleh nak bagi conclusion. Dia just cakap baby takde. So? Mana pegi? Padahal dia pakar, dia ada banyak ilmu, tools and equipments hospital pon memang 5 stars, takkan tak boleh confirmkan apa apa? Yang pasal cyst tu pon dia tak cakap nak kena buang ke nak biar kecut sendiri ke. So aku jadi lost tak tau nak buat ape. Actually, hospital ni okay, nurses sangat baik and friendly, toilets pon bersih, doctors pon very supportive and positive tapi tak boleh provide aku jawapan?
- Malam tu jugak hantar Indah dekat my Mom and plan nak serbu Hospital Serdang esok pagi. Memang kali ni siap siap dah packing baju sebab dapat instinct memang kena admit. Dengan barang kemas semua aku cabut.
2nd April 2019
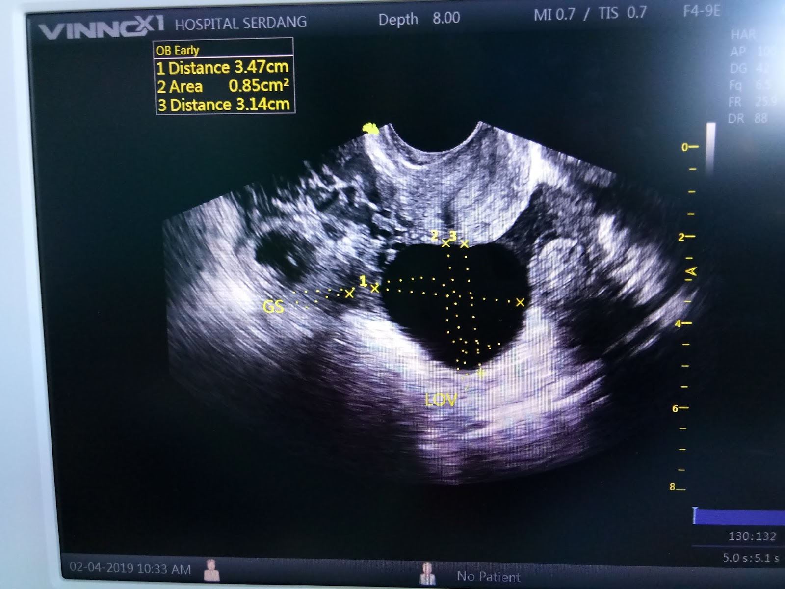
- Berbekalkan referral letter and BHCG result test, terus serbu wad kecemasan. Dalam referral letter tu (Lupa pulak nak ambil gambar), dia just mention yang dia tak jumpa baby. So aku terus masuk wad kecemasan, terus cakap saya mengandung tapi tak jumpa baby and kemungkinan ectopic. And pagi tu rasa sakit tu macam kerap sangat pulak datang, so jalan pon dah slow je. So macam biasa la government, akan buat saringan dulu, lepas tu tunggu nombor ape semua and terus je refer ke Gynae. Alhamdulillah mudah dan cepat sangat untuk urusan pagi tu. Selalu orang cakap government lambat kan. Tapi pagi tu ya Allah mudah and cepat je settle semua benda. So sampai kat gynae, dapat doctor perempuan Alhamdulillah. Sangat baik and kelakar.
Kena baring sebelah benda alah ni, maka paham paham je la.
Kena scan thru vagina, Again!
And tarraaa. Sekejap je dah dapat result!
yang left side, kecik tu, is the baby, which is outside rahim, the right side yang besar tu is the cyst.
- Memula doctor perempuan tu scan, dia nak confirmkan pon macam berani tak berani. Dia nak panggil pakar dia dulu datang and buat confirmation. And doctor tu lelaki berbangsa Cina. Andddd, memang confirmed. Ectopic pregnancy. Doctor Cina tu sangat baik and explain details gila pasal ectopic ni. Dia explain pasal procedure, effects and macam macam lagi. And terus admitted. Aku? Dah takde air mata dah nak nangis. Memang macam dapat agak ectopic. Btw baby masa ni dia hidup tau. Tapi kena buang sebab tak berada dia tempat yang sepatutnya. So aku rasa macam dah banyak buang masa, duit, tenaga dekat hospital private tu. Cane laaaaa kau buat keje kan. Geram je bila ingat balek.
- So doctor pon panggil husband masuk and explain semua, terus sign consent letter and start puasa. Padahal dah start puasa since 12.00 am yesterday. Pagi tu memang tak de selera nak makan. So doctor pon cakap memang dah lebih 6 hours dah puasa which is good so boleh terus book operation room. Tapi benda yang paling sakit waktu ni bila dia nak cucuk jarum kat urat nak masuk air tapi urat tak jumpa!!! Cucuk 3 kali tangan kiri tak dapat. Cucuk tangan kanan pon 3 kali, yang last sekali baru dapat. Itu pon dekat tengah tengah lengan. So memang nangis sebab sakitttt.
Dah berdarah darah dah baju ni sebab darah tumpah masa nak cucuk jarum. Mula mula dapat baju pink, lepas tu kena transfer wad yang majority semua ada masalah at early stage of pregnancy. So kena tukar baju hijau balek.
Tangan kiri kanan dah sakit sebab cucuk jarum tu. Memang kejang je la dua dua tangan.
Besar gila hokay jarum diaaaa
Sebelum operation. Muka memang disaster gilaaaaaa
- So dah sampai wad, nurse cakap kena tunggu turn sebab operation room penuh. Kebetulan hospital serdang masa ni tengah renovation. So tak banyak bilik kosong and kena dahulukan pembedahan yang betul betul emergency. So my operation was scheduled at 8pm. And I was likeeee nooo dah puasa lama sangat ni rasa macam lapar pon ada. Tapi doctor cakap jugak kalau dah pukul 8 pon belum lagi, boleh terus bukak puasa and kosongkan perut semula untuk esok pagi punya operation. Tapi i keep doa biarlah operation settle hari yang sama jugak. Tup tup pukul 5.30 nurse suruh tukar baju sebab my turn dah sampai. Kebetulan husband tak sempat sampai lagi so I masuk operation room sorang sorang. Sempat buat drama dengan husband thru phone call je la dok mintak maaf. Sepanjang penjalanan nurse tolak katil tu rasa cuak sangat. Sampai berpeluh peluh. Sampai rasa nak cabut segala wayar and lari. Sebab takut sangat. Tapi nurses kat situ Alhamdulillah semuanya baik and very positive. Dyorang tenangkan aku, cakap benda ni sekejap je. Tau tau je dah siap. Nak sampai bilik bedah tu ya Allah lama sangat la pulak.
- Bila dah sampai dalam bilik bedah, doctor suruh transfer katil. Dekat nak 3 kali aku transfer katil. Ada sorang doctor datang, perkenalkan diri sebagai pakar bius. Dia explain la pasal bius ni. Operation ni memang berjalan dalam keadaan aku tak sedar langsung. So sampai la betul betul operation nak start, lampu dah bukak. Sampai ada 5 orang wey dalam tu. Gerun sangat aku dok tengok. Dua dua tangan aku dia dah pegang kiri kanan. Oxygen dah start pakai. Dia suruh sedut 5 kali. Sambil tu dia cakap 'Puan saya nak bius ni ye' Lepas tu terus aku dengar 'Puan Puan bangun ye, dah siap' Lepas je sedar sebab dia kejut tu aku memang tak berdaya langsung. Nak angkat tangan pon macam tak mampu. Nak bukak mata lagi lah. Rasa berat sangat. Aku tanya nurse pukul berapa sekarang, and time tu pukul 8.40 malam. So dekat nak 3 jam jugak la operationnya. Yang bagusnya nurse ni, dia tolong tukarkan baju, dia tolong pakaikan tudung balik. Memang terbaik la nurses sini. Kalau compare masa bersalin dulu, semua dapat nurse kasar kasar huhu. Husband masa ni tak dapat dikesan sebab handphone pon nurse pegang. So tak tau.Btw aku rasa macam wow sangat dengan kesan bius ni. Memang tak sedar lah bila nak terlelap tu. Lepas tu tetibe dah siap. Rasa nak try sekali lagi pon ada haha.
- Bila dah transfer ke ward balik, nurse pon cakap 'Puan, waktu makan dah takde ye, Puan call suami puan mintak hantarkan makanan. Ni handphone puan' Aku mintak tolong dia cajkan phone. Baik gila nurse ni dia tolong carikkan charger dalam beg aku yang ada macam macam barang tu and cajkan terus. Nasib baik suis tu kat atas kepala je. So terus call husband bagitau dah siap and mintak hantarkan bubur dengan ikan bilis sebab lapar sangat. Tak lama lepas tu terus aku tertido balek. Sebab memang akan rasa nak tido je. Tiba tiba ada doctor datang kejut and tanya keadaan macam mana. Rupanya dia yang bedah aku. Dia pon selak baju kat perut and explain yang dia cucuk 4 lubang. 1 lubang untuk masukkan camera (area pusat). Ni nama dia laparoscopy. Yang lagi 3 lubang tu dia masukkan tools untuk remove segala benda. So dia bagitau aku, yang baby tu memang membesar dekat aku punya left fallopian tube. And fallopian tube tu dah berdarah siket so dia kata dia terpaksa remove sekali fallopian tube tu sebab kalau simpan memang takkan berfungsi lagi dah and nanti lagi bahaya sebab takut infection. So sebab tu aku rasa sakit perut belah kiri. Tapi dia cakap fallopian tube kanan aku normal so should be no problem untuk get pregnant again. Pasal cyst pulak, dia kata bila masuk camera, dia tak jumpa cyst tu kat mana. So dia kata, pasal cyst tu tak payah risau sebab mungkin dah tak aktif.
- First time nak bangun, nak duduk, seksanya Ya Allah. Sakit sangat. Memang slow motion gila la nak gerak. Kalau nak baring pulak kena baring tegak je. So doctor memang suruh try bergerak. Aku pon usaha la sampai orang sebelah nak tolong bangunkan aku tapi aku tak bagi sebab nanti aku tak reti buat sendiri. Lama jugak aku try, tak lama lepas tu husband pon sampai. Dalam pukul 10.30 malam. Makan 6 suap, lepas tu cakap ngan dia nak tido lagi haha. Guard pon tak bagi lama lama. Dahla bukan waktu melawat. So lepas makan tu memang suruh dia balek terus.
3rd April 2019
- Esok pagi tu ada doctor lelaki datang nak tengok perut. Aku dah tak boleh fikir aurat ke apa sebab memang sakit gila. Kau gerak sikit je tapi dia punya sakit ya Allahhh. So doctor tu datang nak bukak plaster and spray ubat. Dia bukak plaster tak sakit tapi dia spray tu ya Allah pedihnyaaaaaaaaaaaaa. And tak lama lepas tu doctor cina yang cek masa awal awal tu datang and dia explain la semua benda. Patutnya hari tu dah boleh discharge tapi dia cakap sebab sebelum ni aku pernah ceaser so dia nak pantau lagi sehari, so maknanya esok baru boleh balek. Satu hari tu aku memang mintak pain killer. Nak pi toilet pon azab wey. Toilet dekat je padahal.
Not bad breakfast diaaaa.
- Pagi pagi tu nurse pon datang bagi ubat and terus cakap 'Puan boleh mandi ye, sabun je macam biasa, lepas tu keringkan luka macam keringkan luka ceaser dulu' And Alhamdulillah tak sakit pon luka tu bila kena air.
- Berjaya tido waktu malam dengan lenanya. Sebab masa bersalin Indah dulu memang jangan harap la dapat tido nyenyak kat hospital hahah.
4th April 2019
Hamekkk
- Sebelum discharge, Doctor Cina tu datang lagi. Tak tau kenapa suka gila dengan cara dia. Sangat soft spoken, friendly, explanation pon clear. So dia pesan :
- I can try again but suruh badan rehat dulu dalam 3 to 4 months.
- Kalau lambat datang period even sehari terus cek upt. Kalau positive terus pegi scan. Sebab percentage untuk kena ectopic is higher than normal women. So takut ectopic sekali lagi.
- In 2 years of ttc, kalau still tak pregnant, dia suruh datang jumpa any gynae untuk further details.
- So total hangus menetap 3 hari 2 malam dekat hospital serdang ni is only RM29. Aku macam tak percaya weyyyy. Servis pon puas hati. Nurses and doctors pon baik. So bermulalah episod pantang kat rumah mak. Darah pon tetibe keluar melambak. Tapi doctor kata normal. Sebab tu kira macam darah orang bersalin.
So nak cerita siket lahhh. Banyak pengajaran dan hikmah di sebalik semua ni. Kitorang laki bini memang dok tunggu tunggu nak dapat second baby. Doa doa aku semua memang akan terselit la pasal zuriat. Maybe sebab kesian tengok Indah main sorang sorang tak berteman. Lepas tu aku pulak macam rindu dengan baby ni. And yes Allah makbulkan doa aku untuk mengandung lagi tapi Dia bagi aku merasa nikmat mengandung je la selama 7 minggu. Sempat rasa mengidam, sempat rasa pening nak muntah semua. Kalau nak tau, sepanjang 7 minggu ni, aku cuma rasa sakit perut je. Tanda tanda lain macam sakit bahu, spotting semua tu takde. So bila first time scan dah tak nampak baby, aku punya doa memang satu je 'Ya Allah, jika benar rezeki zuriat ini berpihak padaku, aku pohon akan keajaiban padaMu tunjukkanlah kantung baby ni, dan jika ditakdirkan bayi ini bukan untukku, aku mohon agar kau permudahkan segalanya' Dan ya Allah makbulkan ayat aku yang kedua. Even doctors pon ada cakap yang aku memang takde langsung tanda tanda kehamilan luar rahim kecuali part yang sakit perut tu which is memang sakit yang dimudahkan. Dari segi carik parking pon macam lalu lalu je depan tu, ada je kereta yang keluar. Senang je nak masuk hospital. Dapat doctors and nurses pon yang baik baik je. And semua ni settled dalam lebih kurang seminggu dari tarikh yang aku positive upt test. Dalam seminggu je semua ni berakhir. Kau bayangkan hari Isnin kau tau kau pregnant, hari Isnin depan tu baby dah takde. Memang Allah taknak bagi rasa sakit lama lama.
Mungkin Allah nak kitorang fokus pada Indah dulu, atau mungkin Allah nak bagi kembar ke in future. Who knows kan? Sekarang ni aku perasan yang aku agak sensitif siket kalau bab bab mengandung ni. So harap harap orang sekeliling tak tanya lah ye bila nak dapat next baby? Sedih fallopian tube tinggal 1 pon tak habes lagi dah sebok sebok tanya pasal baby.
And lastly, terima kasih kat semorang yang tak henti henti dok tanya pasal keadaan aku. Even kita tak rapat mana pon tapi korang punya tanya macam kita rapat sangat. Sorry terpaksa reject orang orang yang nak datang visit sebab aku tak selesa. Dengan tudung sakai, muka pon disaster gila haha. Doakan aku sihat semula and dapat lahirkan bayi yang sihat dan sempurna, ye?












